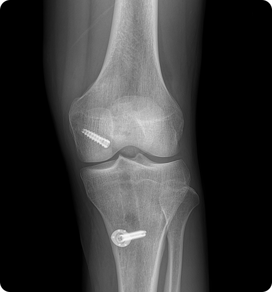
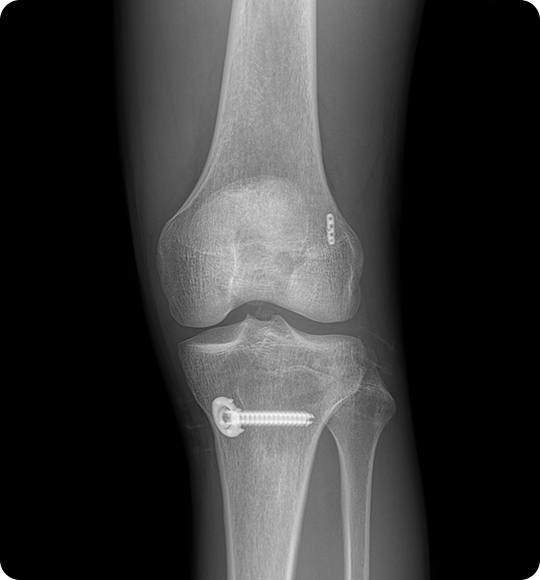
전방십자인대 수술
십자인대 재건술
갑작스러운 방향 전환이나 점프착지,사고,
스포츠 손상 등으로 십자인대가 파열되게 되는데
방치게 될 경우 연골 손상과
퇴행성관절염으로 진행될 수 있기 때문에
반드시 치료가 필요합니다.
이 수술은 끊어진 인대를 봉합하는 것이 아니라
자가건(햄스트링건, 슬개건 등) 또는
인공건을 이용해 새로운 인대를 이식하게 되며,
재건을 통해 통증을 줄이고 무릎 기능을 되살립니다.
갑작스러운 방향 전환이나 점프착지,사고,스포츠 손상 등으로 십자인대가 파열되게 되는데
방치게 될 경우 연골 손상과 퇴행성관절염으로 진행될 수 있기 때문에 반드시 치료가 필요합니다.
이 수술은 끊어진 인대를 봉합하는 것이 아니라 자가건(햄스트링건, 슬개건 등) 또는
인공건을 이용해 새로운 인대를 이식하게 되며, 재건을 통해 통증을 줄이고 무릎 기능을 되살립니다.
전방십자인대 수술
후방십자인대 수술
에스앤케이병원
건강정보

1cm 미만 관절경으로
정밀 수술

통증 감소 및
운동범위 회복

정상 조직 손상
최소화

빠른 회복,
빠른 일상 복귀
어떤 분들이 치료받나요?
MRI 등 영상 검사에서 전방 또는 후방 십자인대 완전 파열이 확인된 경우
운동 중 또는 일상 중 무릎이 불안정해 재손상 위험이 높은 경우
파열된 십자인대로 인해 불안정감과 통증이 지속되는 경우
십자인대재건술 치료과정
1cm 내외의 최소 절개로
내시경을 삽입해 파열된
인대 부위를 정밀히 확인합니다.
자가건 또는 인공건을
이용해 새로운 인대를
이식할 통로를 만듭니다.
인대를 뼈에 단단히 고정 후,
관절 내 위치와 장력을
확인하고 봉합합니다.
수술 후 개인별 재활 프로그램을
통해 관절 운동과 근력 회복을
단계적으로 진행합니다.
에스앤케이병원은
결과로 증명합니다.
의료진의 실력과 체계적인 시스템으로 환자 한 분, 한 분의 치료 결과를 책임집니다.
직접 치료받은 환자들이
소개하는 병원
풍부한 수술 경험이 만든
결과의 차이
프로 선수들이 찾는 병원
프로 선수들이 믿고 찾는 병원,
첨단 장비와 의료시스템
첨단 의료장비와 시스템으로연락처를 남겨주시면 전문상담원이 확인 후 연락드리겠습니다.