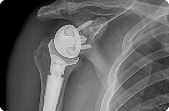
일반 어깨인공관절치환술 X-ray
어깨인공관절치환술
어깨 관절염이나 심한 외상, 반복적인 손상 등으로 관절이 심하게 손상되면
일상적인 활동조차 어려워질 수 있습니다.
이때 손상된 어깨 관절을 인공관절로 대체해 통증을 줄이고 기능 회복을 도모하는
치료가 바로 어깨 인공관절수술입니다.
어깨 인공관절수술은 관절 손상 정도와 회전근개 상태에 따라 해부학적
인공관절치환술과 역행성 인공관절치환술로 나뉘며, 각각의 질환 원인과 관절
상태에 맞춰 시행됩니다.
어깨 관절염이나 심한 외상, 반복적인 손상 등으로 관절이 심하게 손상되면
일상적인 활동조차 어려워질 수 있습니다.
이때 손상된 어깨 관절을 인공관절로 대체해 통증을 줄이고 기능 회복을 도모하는
치료가 바로 어깨 인공관절수술입니다.
어깨 인공관절수술은 관절 손상 정도와 회전근개 상태에 따라 해부학적
인공관절치환술과 역행성 인공관절치환술로 나뉘며, 각각의 질환 원인과 관절
상태에 맞춰 시행됩니다.
일반 어깨인공관절치환술 X-ray
역행성 어깨인공관절치환술 X-ray

풍부한 어깨 인공관절 수술 경험을
바탕으로 한 안정적인 수술

무균수술센터 운영으로
감염 위험 최소화

절개 범위 최소화로
연부조직 손상 부담 감소

회전근개 상태를 고려한
맞춤형 인공관절 수술

수술 후 단계별
재활 프로그램 연계 운영
어떤 분들이 치료받나요?
퇴행성 어깨 관절염으로 통증이 심한 경우
외상이나 골절 후 관절 손상이 심한 경우
회전근개 파열과 함께 관절 기능 저하가 동반된 경우
보존적 치료에도 통증과 운동 제한이 지속되는 경우
어깨 기능 저하로 일상생활에 큰 불편이 있는 경우
어깨인공관절치환술 치료과정
X-ray, CT, MRI 등을 통해
관절 손상 정도와 회전근개 상태를
정확히 평가합니다.
관절 상태에 따라
해부학적 또는 역행성
인공관절치환술을 결정합니다.
손상된 관절면을 제거한 후
인공관절을
정확한 위치에 삽입합니다.
수술 후 단계별
재활 프로그램을 통해
어깨 가동 범위와
기능 회복을 돕습니다.
에스앤케이병원은
결과로 증명합니다.
의료진의 실력과 체계적인 시스템으로 환자 한 분, 한 분의 치료 결과를 책임집니다.
직접 치료받은 환자들이
소개하는 병원
풍부한 수술 경험이 만든
결과의 차이
프로 선수들이 찾는 병원
프로 선수들이 믿고 찾는 병원,
첨단 장비와 의료시스템
첨단 의료장비와 시스템으로연락처를 남겨주시면 전문상담원이 확인 후 연락드리겠습니다.