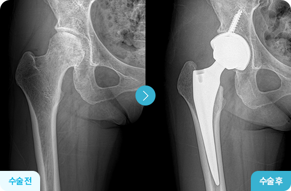
인공 고관절 치환술 전후사진
인공 고관절 치환술
고관절은 퇴행성 변화나 골절로 연골이 닳고 뼈가 손상되면,
단순한 통증을 넘어 관절 자체의 기능이 사라지게 됩니다.
이 단계에서는 약물이나 물리치료로는 회복이 어렵기 때문에,
손상된 뼈와 연골을 인체에 안전한 금속, 세라믹 재질의 인공관절을 삽입하는
인공 고관절 치환술을 통해 관절의 기능을 되살리는 치료가 필요합니다.
특히 대퇴경부 골절의 경우, 혈류가 차단되면 시간이 지나며 대퇴골두 괴사가 진행될 수 있어
조기 회복을 위해 인공 고관절 치환술을 진행하게 됩니다.
고관절은 퇴행성 변화나 골절로 연골이 닳고 뼈가 손상되면,
단순한 통증을 넘어 관절 자체의 기능이 사라지게 됩니다.
이 단계에서는 약물이나 물리치료로는 회복이 어렵기 때문에,
손상된 뼈와 연골을 인체에 안전한 금속, 세라믹 재질의 인공관절을 삽입하는
인공 고관절 치환술을 통해 관절의 기능을 되살리는 치료가 필요합니다.
특히 대퇴경부 골절의 경우, 혈류가 차단되면 시간이 지나며 대퇴골두 괴사가 진행될 수 있어
조기 회복을 위해 인공 고관절 치환술을 진행하게 됩니다.
인공 고관절 치환술 전후사진
에스앤케이병원
건강정보

골절·연골 손상으로 인한
통증 감소

고관절의 안정성과
운동 범위 확보

보행 능력 향상
및 균형 회복

생체적합 재질로
장기간 안정성 유지
어떤 분들이 치료받나요?
퇴행성 고관절염으로 통증이 심하고 보행이 어려운 경우
대퇴경부 골절 후 괴사 가능성이 높거나 통증이 지속되는 경우
대퇴골두 무혈성 괴사로 관절이 무너진 경우
낙상이나 외상으로 관절 손상이 심한 경우
약물·물리치료로도 호전이 없는 경우
양측 고관절 통증으로 일상생활이 제한된 경우
인공 고관절 치환술 치료과정
최소 절개로 손상된 연골과 뼈를 제거하고
인공관절 삽입 공간을 확보합니다.
대퇴골과 골반의 관절면을 정밀하게 다듬은 뒤,
환자 맞춤형 인공관절(컵·스템)을
정확히 삽입합니다.
관절의 안정성과 운동 범위를 확인한 후
봉합하고,
조기 재활 및 보행 훈련을 시작합니다.
에스앤케이병원은
결과로 증명합니다.
의료진의 실력과 체계적인 시스템으로 환자 한 분, 한 분의 치료 결과를 책임집니다.
직접 치료받은 환자들이
소개하는 병원
풍부한 수술 경험이 만든
결과의 차이
프로 선수들이 찾는 병원
프로 선수들이 믿고 찾는 병원,
첨단 장비와 의료시스템
첨단 의료장비와 시스템으로연락처를 남겨주시면 전문상담원이 확인 후 연락드리겠습니다.