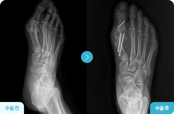
무지외반교정술 전후사진
4세대 최소침습
무지외반교정술(MITA)
무지외반증은 시간이 지나면 관절이 틀어지고 변형이 심해져,
통증뿐 아니라 걸음걸이와 체형까지 영향을 미치게 됩니다.
기존 절개 교정술은 5~7cm 이상 절개 후 뼈를 고정하는 방식으로
통증·흉터·회복 지연의 부담이 컸습니다.
하지만 4세대 최소침습 무지외반교정술(MITA)는
2mm 미세 구멍을 통해 교정하는 4세대 최소침습 무지외반교정술로,
절개 없이 변형된 뼈의 축을 정확히 교정하여 통증, 흉터, 회복 기간을 획기적으로 줄였습니다.
무지외반증은 시간이 지나면 관절이 틀어지고 변형이 심해져,
통증뿐 아니라 걸음걸이와 체형까지 영향을 미치게 됩니다.
기존 절개 교정술은 5~7cm 이상 절개 후 뼈를 고정하는 방식으로
통증·흉터·회복 지연의 부담이 컸습니다.
하지만 4세대 최소침습 무지외반교정술(MITA)는
2mm 미세 구멍을 통해 교정하는 4세대 최소침습 무지외반교정술로,
절개 없이 변형된 뼈의 축을 정확히 교정하여 통증, 흉터, 회복 기간을 획기적으로 줄였습니다.
무지외반교정술 전후사진

1cm 미만 관절경으로
정밀 수술

통증 감소 및
운동범위 회복

정상 조직 손상
최소화

빠른 회복,
빠른 일상 복귀
어떤 분들이 치료받나요?
엄지발가락이 바깥쪽으로 휘며 통증·피로감이 심한 경우
신발 착용 시 통증, 발가락 겹침으로 걷기 어려운 경우
교정기, 깔창 등 보존적 치료로 호전이 없는 경우
변형이 점점 심해져 관절염·피로골절이 동반된 경우
미용적 개선과 통증 개선, 기능 회복을 함께 원하는 경우
무지외반교정술(MITA) 치료과정
2mm 미세 구멍을 통해 특수 기구를 삽입하고,
변형된 뼈 각도를 정밀하게 확인합니다.
MITA 기법으로 뼈를 미세하게 절골하여
엄지발가락의 축을 교정합니다.
교정된 뼈를 생체적합성 핀으로 고정 후
봉합하며, 조기 보행이 가능합니다.
에스앤케이병원은
결과로 증명합니다.
의료진의 실력과 체계적인 시스템으로 환자 한 분, 한 분의 치료 결과를 책임집니다.
직접 치료받은 환자들이
소개하는 병원
풍부한 수술 경험이 만든
결과의 차이
프로 선수들이 찾는 병원
프로 선수들이 믿고 찾는 병원,
첨단 장비와 의료시스템
첨단 의료장비와 시스템으로연락처를 남겨주시면 전문상담원이 확인 후 연락드리겠습니다.